{
"cells": [
{
"cell_type": "markdown",
"metadata": {
"slideshow": {
"slide_type": "slide"
}
},
"source": [
"# Introduction to the Insight Toolkit (ITK)"
]
},
{
"cell_type": "markdown",
"metadata": {
"slideshow": {
"slide_type": "subslide"
}
},
"source": [
"### Learning Objectives\n",
"\n",
"* Learn how to **run** cells in **a Jupyter Notebook**\n",
"* Run a segmentation example that demonstrates **ITK**'s ability to provide **insight into images**\n",
"* Understand the **purpose and capabilities** of the toolkit"
]
},
{
"cell_type": "markdown",
"metadata": {
"slideshow": {
"slide_type": "slide"
}
},
"source": [
"## Jupyter Notebooks"
]
},
{
"cell_type": "markdown",
"metadata": {
"slideshow": {
"slide_type": "subslide"
}
},
"source": [
"These are [Jupyter Notebooks](https://jupyter.org/), an open-source web application that allows you to create and share documents that contain live code, equations, visualizations and narrative text.\n",
"\n",
"To run cells in the notebook, press *shift + enter*.\n",
"\n",
"For more information, see the [Notebook Help](https://nbviewer.jupyter.org/github/ipython/ipython/blob/3.x/examples/Notebook/Index.ipynb)"
]
},
{
"cell_type": "markdown",
"metadata": {
"slideshow": {
"slide_type": "slide"
}
},
"source": [
"## Insight Into Images"
]
},
{
"cell_type": "code",
"execution_count": 1,
"metadata": {
"ExecuteTime": {
"end_time": "2023-04-04T16:11:06.942152Z",
"start_time": "2023-04-04T16:11:06.936143Z"
},
"slideshow": {
"slide_type": "slide"
},
"tags": []
},
"outputs": [],
"source": [
"import itk\n",
"\n",
"from packaging.version import parse\n",
"from importlib.metadata import version\n",
"\n",
"if parse(version('itk')) < parse('5.3'):\n",
" raise ValueError(\"ITK greater than version 5.3.0 is required for this notebook\")"
]
},
{
"cell_type": "code",
"execution_count": 2,
"metadata": {
"collapsed": false,
"jupyter": {
"outputs_hidden": false
},
"tags": []
},
"outputs": [],
"source": [
"from itkwidgets import view"
]
},
{
"cell_type": "code",
"execution_count": 3,
"metadata": {
"slideshow": {
"slide_type": "fragment"
},
"tags": []
},
"outputs": [
{
"data": {
"text/html": [
"\n",
"
\n",
" \n",
" "
],
"text/plain": [
""
]
},
"metadata": {},
"output_type": "display_data"
},
{
"data": {
"application/javascript": [
"window.connectPlugin && window.connectPlugin(\"f81e438f-d312-4839-a364-2dd525f37a6e\")"
],
"text/plain": [
""
]
},
"metadata": {},
"output_type": "display_data"
},
{
"data": {
"text/html": [
""
],
"text/plain": [
""
]
},
"metadata": {},
"output_type": "display_data"
},
{
"data": {
"text/plain": [
""
]
},
"execution_count": 3,
"metadata": {},
"output_type": "execute_result"
}
],
"source": [
"file_name = \"data/brainweb165a10f17.mha\"\n",
"image = itk.imread(file_name, itk.ctype(\"float\"))\n",
"view(image, gradient_opacity=0.5)"
]
},
{
"cell_type": "code",
"execution_count": 4,
"metadata": {
"slideshow": {
"slide_type": "subslide"
},
"tags": []
},
"outputs": [
{
"data": {
"text/html": [
"\n",
"
\n",
" \n",
" "
],
"text/plain": [
""
]
},
"metadata": {},
"output_type": "display_data"
},
{
"data": {
"application/javascript": [
"window.connectPlugin && window.connectPlugin(\"f81e438f-d312-4839-a364-2dd525f37a6e\")"
],
"text/plain": [
""
]
},
"metadata": {},
"output_type": "display_data"
},
{
"data": {
"text/html": [
""
],
"text/plain": [
""
]
},
"metadata": {},
"output_type": "display_data"
},
{
"data": {
"text/plain": [
""
]
},
"execution_count": 4,
"metadata": {},
"output_type": "execute_result"
}
],
"source": [
"# Smooth the image\n",
"smoothed = itk.curvature_flow_image_filter(\n",
" image, number_of_iterations=6, time_step=0.005\n",
")\n",
"view(smoothed, gradient_opacity=0.5)"
]
},
{
"cell_type": "code",
"execution_count": 5,
"metadata": {
"slideshow": {
"slide_type": "subslide"
},
"tags": []
},
"outputs": [],
"source": [
"# Segment the white matter with a 3D region-growing algorithm\n",
"confidence_connected = itk.ConfidenceConnectedImageFilter.New(smoothed)\n",
"confidence_connected.SetMultiplier(2.5)\n",
"confidence_connected.SetNumberOfIterations(5)\n",
"confidence_connected.SetInitialNeighborhoodRadius(2)\n",
"confidence_connected.SetReplaceValue(255)\n",
"\n",
"confidence_connected.AddSeed([118, 133, 92])\n",
"confidence_connected.AddSeed([63, 135, 94])\n",
"confidence_connected.AddSeed([63, 157, 90])\n",
"confidence_connected.AddSeed([111, 150, 90])\n",
"confidence_connected.AddSeed([111, 50, 88])\n",
"confidence_connected.Update()"
]
},
{
"cell_type": "code",
"execution_count": 7,
"metadata": {
"slideshow": {
"slide_type": "subslide"
},
"tags": []
},
"outputs": [
{
"data": {
"text/html": [
"\n",
"
\n",
" \n",
" "
],
"text/plain": [
""
]
},
"metadata": {},
"output_type": "display_data"
},
{
"data": {
"application/javascript": [
"window.connectPlugin && window.connectPlugin(\"f81e438f-d312-4839-a364-2dd525f37a6e\")"
],
"text/plain": [
""
]
},
"metadata": {},
"output_type": "display_data"
},
{
"data": {
"text/html": [
""
],
"text/plain": [
""
]
},
"metadata": {},
"output_type": "display_data"
},
{
"data": {
"text/plain": [
""
]
},
"execution_count": 7,
"metadata": {},
"output_type": "execute_result"
}
],
"source": [
"view(\n",
" image=smoothed,\n",
" label_image=confidence_connected.GetOutput(),\n",
" gradient_opacity=0.5\n",
")"
]
},
{
"cell_type": "markdown",
"metadata": {
"slideshow": {
"slide_type": "slide"
}
},
"source": [
"## History of ITK"
]
},
{
"cell_type": "markdown",
"metadata": {
"slideshow": {
"slide_type": "subslide"
}
},
"source": [
"### Insight into Images\n",
"\n",
"\n",
"\n",
"http://itk.org"
]
},
{
"cell_type": "markdown",
"metadata": {
"slideshow": {
"slide_type": "subslide"
}
},
"source": [
"### History\n",
"\n",
"In 1999, the US National Institute of Health’s (NIH) National Library of Medicine (NLM) started a project to support the Visible Human Project.\n",
"\n",
"\n",
"\n",
"\n"
]
},
{
"cell_type": "markdown",
"metadata": {
"slideshow": {
"slide_type": "subslide"
}
},
"source": [
"### Goals\n",
"\n",
"* Collect best-of-the-best image analysis algorithms for reproducible science.\n",
"* Provide a software resource for teaching medical image analysis algorithms.\n",
"* Establish a foundation for future research.\n",
"* Support commercial applications.\n",
"* Create conventions for future work.\n",
"* Grow a self-sustaining community of software users and developers."
]
},
{
"cell_type": "markdown",
"metadata": {
"slideshow": {
"slide_type": "subslide"
}
},
"source": [
"### Continued Development\n",
"\n",
"* Development has progressed since 1999\n",
"* Contributions from over 267 developers\n",
"* Over 1.6 million lines of code\n",
"* Downloaded over 500,000 times\n",
"\n",
"\n",
"\n",
"ITK contributors locations for the 4.8 and 4.9 releases."
]
},
{
"cell_type": "markdown",
"metadata": {
"slideshow": {
"slide_type": "slide"
}
},
"source": [
"## Features"
]
},
{
"cell_type": "markdown",
"metadata": {
"slideshow": {
"slide_type": "subslide"
}
},
"source": [
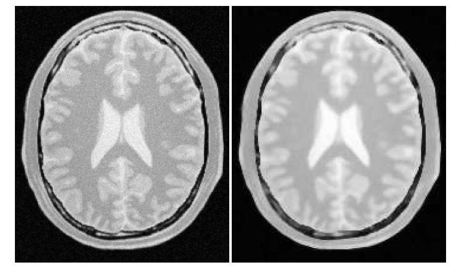
"### N-Dimensional Image Filtering\n",
"\n",
""
]
},
{
"cell_type": "markdown",
"metadata": {
"slideshow": {
"slide_type": "subslide"
}
},
"source": [
"### Filtering Algorithms Classes\n",
"\n",
"* Fast marching methods\n",
"* Convolution\n",
"* Image gradient\n",
"* Denoising\n",
"* Thresholding\n",
"* Mathematical morphology\n",
"* Smoothing\n",
"* Image features\n",
"* Image statistics\n",
"* Bias correction\n",
"* Image grid operations\n",
"* ...."
]
},
{
"cell_type": "markdown",
"metadata": {
"slideshow": {
"slide_type": "subslide"
}
},
"source": [
"### Segmentation\n",
"\n",
"\"Image segmentation is the process of partitioning a digital image into multiple segments, i.e. sets of pixels. The goal of segmentation is to simplify and/or change the representation of an image into something that is more meaningful and easier to analyze.\"\n",
"\n",
"Source: [Wikipedia](https://en.wikipedia.org/wiki/Image_segmentation)"
]
},
{
"cell_type": "markdown",
"metadata": {
"slideshow": {
"slide_type": "subslide"
}
},
"source": [
"### Segmentation\n",
"\n",
""
]
},
{
"cell_type": "markdown",
"metadata": {
"slideshow": {
"slide_type": "subslide"
}
},
"source": [
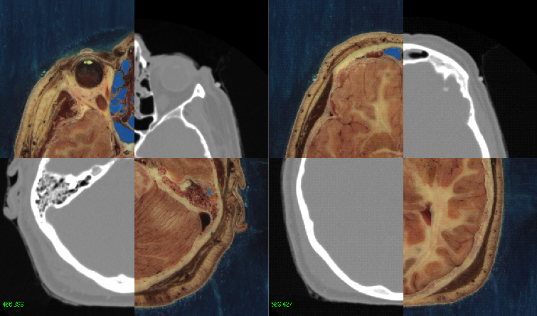
"### Segmentation\n",
"\n",
""
]
},
{
"cell_type": "markdown",
"metadata": {
"slideshow": {
"slide_type": "subslide"
}
},
"source": [
"### Segmentation\n",
"\n",
""
]
},
{
"cell_type": "markdown",
"metadata": {
"slideshow": {
"slide_type": "subslide"
}
},
"source": [
"### Segmentation\n",
"\n",
""
]
},
{
"cell_type": "markdown",
"metadata": {
"slideshow": {
"slide_type": "subslide"
}
},
"source": [
"### Segmentation\n",
"\n",
""
]
},
{
"cell_type": "markdown",
"metadata": {
"slideshow": {
"slide_type": "subslide"
}
},
"source": [
"### Segmentation\n",
"\n",
""
]
},
{
"cell_type": "markdown",
"metadata": {
"slideshow": {
"slide_type": "subslide"
}
},
"source": [
"### Registration\n",
"\n",
"\"Image registration is the process of transforming different sets of data into one coordinate system. [...] Registration is necessary in order to be able to compare or integrate the data obtained from these different measurements.\"\n",
"\n",
"Source: [Wikipedia](https://en.wikipedia.org/wiki/Image_registration)"
]
},
{
"cell_type": "markdown",
"metadata": {
"slideshow": {
"slide_type": "subslide"
}
},
"source": [
"### Registration\n",
"\n",
""
]
},
{
"cell_type": "markdown",
"metadata": {
"slideshow": {
"slide_type": "subslide"
}
},
"source": [
"### Other Data Structures\n",
"\n",
"* Mesh's\n",
"* Transforms's\n",
"* SpatialObject's\n",
"* Path's\n",
"* LabelMap's\n",
"\n",
"\n",
"\n",
""
]
},
{
"cell_type": "markdown",
"metadata": {
"slideshow": {
"slide_type": "subslide"
}
},
"source": [
"### ITK Resources\n",
"\n",
"* ITK Software Guide: https://www.itk.org/ItkSoftwareGuide.pdf\n",
"\n",
"* Discourse Discussion: https://discourse.itk.org\n",
"\n",
"* Sphinx Examples: https://www.itk.org/ITKExamples\n",
"\n",
"* `ITK/Examples/` directory in the ITK source code repository\n",
"\n",
"* Doxygen: http://www.itk.org/Doxygen/html/index.html\n",
"\n",
"* Kitware: https://www.kitware.com/"
]
},
{
"cell_type": "markdown",
"metadata": {
"slideshow": {
"slide_type": "subslide"
}
},
"source": [
"### Kitware, Inc\n",
"\n",
"\n",
"\n",
"\n",
"\n",
"\n",
"- Collaborative, Open Source, Scientific Software Development\n",
"- Carrboro, NC, near University of North Carolina-Chapel Hill, in the Research Triangle"
]
},
{
"cell_type": "markdown",
"metadata": {
"slideshow": {
"slide_type": "subslide"
}
},
"source": [
"### Enjoy ITK!"
]
}
],
"metadata": {
"kernelspec": {
"display_name": "Python 3 (ipykernel)",
"language": "python",
"name": "python3"
},
"language_info": {
"codemirror_mode": {
"name": "ipython",
"version": 3
},
"file_extension": ".py",
"mimetype": "text/x-python",
"name": "python",
"nbconvert_exporter": "python",
"pygments_lexer": "ipython3",
"version": "3.11.7"
}
},
"nbformat": 4,
"nbformat_minor": 4
}